网站首页
产品中心
关于我们
新闻中心
联系我们
产品中心
Products Center
产品
文章
搜索
名称
描述
内容
当前位置:
网站首页
>>
免疫组化染色图片赏析
>>
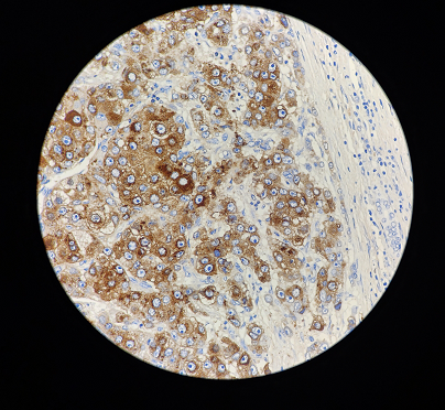
AFP(甲胎蛋白)抗体免疫组织化学染色,强度3+
二抗及配套试剂
科研试剂
免疫组化染色图片赏析
3
关闭分类
南京泰盈生物科技开发有限公司
产品分类
二抗及配套试剂
科研试剂
免疫组化染色图片赏析
AFP(甲胎蛋白)抗体免疫组织化学染色,强度3+
AFP是在体液中发现的分子量为70KD的癌胚抗原,由胚胎卵黄细胞、胚胎肝细胞和胎儿肠道细胞合成的一种糖蛋白。主要用于标记低分化肝癌、胚胎性癌、卵黄囊瘤等生殖细胞肿瘤。细胞定位:细胞质
市场价:
0.00
价格:
0.00
AFP是在体液中发现的分子量为70KD的癌胚抗原,由胚胎卵黄细胞、胚胎肝细胞和胎儿肠道细胞合成的一种糖蛋白。主要用于标记低分化肝癌、胚胎性癌、卵黄囊瘤等生殖细胞肿瘤。细胞定位:细胞质
上一个:
PD-L1抗体免疫组织化学染色,强度:3+
下一个:
ki67抗体免疫组织化学染色,强度3+