产品中心
Products Center
名称描述内容
当前位置:
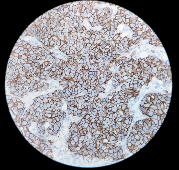
HER2 重组兔单克隆抗体免疫组织化学染色(乳腺癌)

HER2 重组兔单克隆抗体免疫组织化学染色(乳腺癌)

HER2(又称 HER2/neu, c-erbB2, ERBB2或neu)是一种跨膜受体酪氨酸激酶,是一种致癌基因,它的激活会引起恶性转化和增加细胞的恶性潜能(细胞增殖、侵袭等)。HER-2在15-25%的原发性乳腺癌中过度表达,HER-2也可在肠型胃癌和胃食管癌、卵巢癌、高分化子宫内膜癌和一些涎腺导管瘤中发现。c-erbB-2阳性乳腺癌通常与雌激素和孕酮受体阴性有关。因此,预后不良与c-erbB-2阳性有关。

0.00
0.00
  

HER2(又称 HER2/neu, c-erbB2, ERBB2或neu)是一种跨膜受体酪氨酸激酶,是一种致癌基因,它的激活会引起恶性转化和增加细胞的恶性潜能(细胞增殖、侵袭等)。HER-2在15-25%的原发性乳腺癌中过度表达,HER-2也可在肠型胃癌和胃食管癌、卵巢癌、高分化子宫内膜癌和一些涎腺导管瘤中发现。c-erbB-2阳性乳腺癌通常与雌激素和孕酮受体阴性有关。因此,预后不良与c-erbB-2阳性有关。